Meningiomas are brain tumors, usually benign, that starts in the cells that cover the surface of the brain. They grow in the region of the cerebral hemispheres or at the level of the cranial base (meningioma of the cavernous sinus), and are characterized by rather slow growth and in most cases without infiltration of the brain tissue that surrounds them.
Among the first manifestations of meningioma, is epilepsy and alterations of behavior. Depending on the precise location of the meningioma, there may be difficulty speaking or moving an arm or leg. The headache which is the most common symptom for many other brain diseases, in this case, is rather rare. In some cases, discoloration of the scalp may also occur at the site of the meningioma, which takes the form of the meningioma itself. They are rounded and have a diameter of a few centimeters.
Often the diagnosis of meningioma occurs in a completely random manner when tests are prescribed such as MRI or CT scan to check other ongoing problems (for example for a history of headache or a head injury). This happens because in 70% of the cases the meningiomas are asymptomatic.
Once the diagnosis of meningioma has been ascertained, the neurosurgeon can evaluate different treatment options that mainly depend on the nature of the pathology.
The first therapeutic indication is usually represented by the surgical intervention that allows the total or partial removal of the tumor. In the case of meningiomas of the skull base, and in particular of the cavernous sinus, the treatment of stereotactic radiosurgery with Gamma Knife is beneficial, which allows excellent control of tumor growth with very low risks. Radiation therapy, on the other hand, is indicated in the presence of an aggressive meningioma or as a complement to surgery.
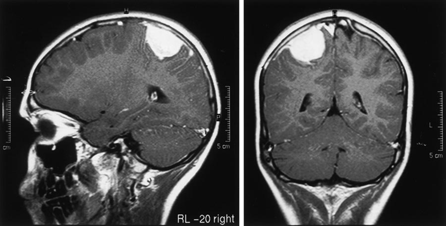
Gamma Knife radiosurgery is a technique for intracranial stereotactic radiosurgery. It can be useful for intervening on primitive brain tumors, such as meningiomas. Treatment with Gamma Knife allows targeting the meningioma with a beam of radiation.
The patient will be slightly sedated, then the stereotaxic helmet will be applied to him with local anesthesia. He will be subjected to MRI tests of the brain with gadolinium. These images allow the specialist to plan the treatment. Once the plan is completed, the patient will be lying down with the stereotaxic helmet attached to the Gamma Knife couch. The procedure can last from one to six hours, depending on the patient’s needs and the target to be irradiated.
The Gamma Knife treatment is a minimally invasive procedure, takes place in a single session and is free of pain and surgical incisions. The process is almost always outpatient, and the discharge of the patient usually takes place the same day.
The procedure is not painful, the patient may experience pain only when positioning the four small metal pins to stabilize the helmet. During the actual treatment, the patient will initially perceive slight movements of adaptation of the head to the machine, but will not feel either pain or noise.
The risks associated with this procedure can be neurological disorders, stroke, epileptic seizures, pain following treatment in a minute number of people.
Patients with meningiomas that do not exceed 3.5 cm in diameter may be treated.
Follow up
The results of the procedure are not immediate. The patient will be informed about the checks to be carried out at the time of discharge.
The effect of radiation occurs after weeks and/or months. Sometimes the irradiation with Gamma Knife may not be sufficient to solve the problem, and the neoplasm could continue to grow. Therefore, further treatments may be necessary, either Gamma Knife or craniotomy surgery.
Gamma Knife surgery is done at many hospitals in India such as PGIMER in Chandigarh and Hinduja Hospital in Bangalore. The most well-known center is of course at NIMHANS Bangalore. The cost ranges from INR 1 lakh to 2 lakhs per session or cycle or USD 1,400 to 1,800. If craniotomy is required, that is about the same cost as brain tumor operations and ranges between INR 3 lakhs and 5 lakhs or USD 4,200 and 7,000.
Continue reading
There are many couples all over the world who even after several years of marriage are finding it difficult to conceive their child. There may arise infertility issues in any of the partner, be it the husband or the wife. It is a wrong notion that it is only the female partner who is not able to get pregnant. According to the health experts, infertility issues suffered by any of the partner are likely to become a major hurdle towards conceiving a biological baby. Fortunately, the introduction of advanced technology has made it possible for such couples to enjoy availing IVF (Invitro Fertilization) procedure to conceive their own babies. This particular remedy has proven to be a boon for the millions who now are able to enjoy its numerous benefits. They can contact the Best IVF Hospital in India to get their issues diagnosed and to seek the most appropriate remedy.
IVF is considered to be a procedure involving assisted reproduction to help couples suffering from fertility issues and not able to conceive a child. A special medication is provided to the female partner for ovary stimulation, thereby leading to enhanced egg production. Such eggs are harvested surgically after they ripen. Then from male partner is taken sperms, which gets combined in the lab with the eggs of the female partner. It is the lab setting that the embryos are allowed to grow for about 3-5 days. The viable embryos are implanted onto the uterus of the woman. After a week, the conducts a pregnancy test to check the progress results of the implanted embryos. Pregnancy can be expected during the very first cycle or depending upon 30% average success rate. For the IVF to achieve success and for pregnancy to take place, there might be required more than a single cycle.
The health experts however, opine that conducting IVF procedure does not actually guarantee 100% pregnancy. Rather, it boosts the chances and has become the method of choice for millions all over the world. There have been successful stories of couples who have been able to conceive this artificial way and have brought joy to their families. Again, the selection of the doctor and the facility is of great importance to make this treatment procedure a grand success.
However with age, the chances of success decrease tremendously. Hence, medical experts recommend IVF before 35-40 ages. There have also been surprising reports of women being on their brink of menopause to get pregnant on availing IVF treatment from the best IVF hospital in India. But this is rather not the recommended age. The much younger the woman is, more are likely to be enjoyed the chances of success. Although this procedure is surrounded by some religious, moral and ethical debate, there is no denying this fact that childless couples can once again dream of having their own biological child and become parents like the others. This procedure is completely safe and the number of couples availing it is only increasing with numbers with each passing year.
Continue reading
The kidneys play an essential and vital function for the survival of the human body because, in addition to allowing the production of urine to eliminate substances that are otherwise toxic to our body, they are also able to regulate and maintain balance some factors that would enable the regular functioning of our metabolism.
Kidney transplantation is a surgical procedure in which a kidney from a donor is placed in the body of a patient with terminal renal failure. This is not a new procedure. The first renal transplant was performed in 1954, and it has become a life-saving treatment for many patients with acute renal failure. It is performed in India from 1965 and is a widely practiced therapy.
Various diseases, unfortunately, can damage the kidneys and some of these lead inevitably to the loss of their function. When this happens, the only therapeutic options for the patient are dialysis and kidney transplantation.
The surgery involves the union of the blood vessels of the kidney with the iliac vessels of the recipient and the attachment of the ureter, coming from the same donor to the bladder.
As is necessary in the case of all organ or tissue transplants even in the case of kidney transplantation, in order to preserve the functionality of the transplanted organ, the patient must be given immunosuppressive drugs that serve to modify the immune system which, otherwise, would tend to destroy (reject) the new kidney.
Most patients with chronic renal failure may be candidates for kidney transplantation. There is no defined age limit beyond which transplantation is not performed: in general, patients under the age of 70 can be transplanted; however, the state of health and general well-being is also essential.
For the introduction on the waiting list for a transplant, the clinical history, previous surgical interventions, including previous transplants and the existence of heart, lung or liver diseases will also be considered.
All these elements will be carefully evaluated for each individual patient, during a nephro-surgical visit, in order to ensure for all patients the best decision.
Since only human kidneys can be transplanted in humans, each kidney transplant implies the presence of a donor. The two types of kidney donors are:
Living donor – The donation of a kidney from a living donor is typically performed by a family member both of same ancestry and unrelated. As for the donor, kidney withdrawal carries the same risks as all surgical procedures under general anesthesia. The remaining kidney will also be able to do the work of the donated kidney. The living donor has an absolutely normal life expectancy, and the donation of the kidney does not imply any restriction both in terms of lifestyle and physical activity.
Deceased donor– A deceased donor is a person with irreversible brain damage who has been declared dead. Recipients are selected from patients on the waiting list based on blood group and tissue compatibility, age group and waiting time on the list.
Many factors can contribute to determining which will be the best choice in your case. The group of surgeons and nephrologists at your treatment center in India will evaluate together with you all the various aspects of the different options to arrive at the best choice.
In most cases, a kidney is sufficient to guarantee an adequate function. However, in recent years the use of donors of more advanced or non-ideal age has led to the simultaneous transplantation of both kidneys obtaining the transplantation of a greater functioning renal mass, with very satisfactory results.
The cost of a kidney transplant in India may be as low as INR 4 lakhs at a state-run facility, and it can climb to INR 11 lakhs at a private hospital that is USD 5,500 to 15,000. This is extremely cheap compared to the rest of the world where it costs about USD 100,000. The hospitals in India boast of a 90% success rate in kidney transplants making it the choicest destination for many patients. India has a vast network of hospitals both state-run and private that offer top-notch kidney transplant operations.
Continue reading
Infertility issues are fast becoming a major problem among couples all over the world and they do face problems in conceiving a child. These days, people in huge numbers do rely upon advanced medical technique known as IVF or In Vitro Fertilization. The major reason for infertility issues to take place is among couples who plan to have children at very late age. There is also noticed very high incidence of STD (sexually transmitted diseases). But before trying to avail IVF treatment, it will be useful for the couple to know about the different procedures involved and be well prepared for all outcomes.
Discussing with the top IVF specialist can help the couple to know if IVF procedure is meant for them or not. Since a good number of couples have enjoyed the best outcomes, checking with the professionals will be the right step taken to having a child.
Continue reading
The coronary or heart bypass is the surgical method to restore blood flow to the heart when the coronary arteries through which blood passes are obstructed due to atherosclerosis. It consists in bypassing the narrowing point of the coronary artery with a bridge made up of arteries or veins taken from other parts of the patient’s body, thus allowing the blood to circulate freely in the heart muscle again.
Cost is probably the most important factor for someone seeking bypass surgery. It is a crucial surgery as the life of the patient depends on it. The average heart bypass surgery cost in India is USD 5,500 or about INR 4,00,000. It is less than a tenth of the price in the USA and a third of what is required in Singapore.
Minimally Invasive heart bypass surgery cost in India would be more at about USD 7,000 or INR 5,04,000. This operation is done through a smaller incision and not completely open heart surgery. The type of hospital and standard of the room was chosen also has a significant effect on the total expenditure. One has to take into account that total hospital stay is about 9 days but in all those coming from abroad need about 20 days in India to meet a surgeon and have required tests done.
Arriving at a foreign country for an urgent surgery can be frightening but medical tourism is well developed in India, and every possible facility will be offered from airport pickup and drop to the arrangement for the hotel stay.
The by-pass is performed when enough blood does not reach the heart, through the coronary arteries, to meet all of its needs and is therefore referred to as ischemic heart disease. This situation manifests itself with chest pains (angina pectoris) under stress or even at rest, or it can start directly with a heart attack. In more rare cases it does not show signs of itself and can only be ascertained through various investigations, in particular, coronary angiography. Since angioplasty was introduced, indications for surgery have been reduced. In cases where drugs and lifestyle fail to keep the disease under control, it is usually tried first to remove the obstruction with angioplasty:
First of all, it is necessary to take from the patient the blood vessels to be used for the bridge which will bypass the obstacle constituted by the obstruction of the coronary artery. The saphenous vein of the leg, the internal mammary artery, which is already inside the thorax, or the radial artery of the arm is usually used. Using the patient’s own structures as “spare parts” avoids the risk of rejection and the formation of smaller vessels will compensate for the absence of the removed vein or artery. To carry out the operation, open the thoracic cavity and reach the heart, where the portions of the blood vessels previously collected elsewhere can be sewn onto the blocked coronaries, upstream and downstream of the block. To do this it is usually necessary to temporarily stop the heart by cooling it; in the meantime, the circulation is maintained by a mechanical pump, also called heart-lung machine, to which the patient is connected.
The bypass is a demanding procedure that must be performed under general anesthesia and generally lasts from 3 to 5 hours. When leaving the operating room, it takes a day or two in an intensive care unit to keep the patient under control. Subsequently, they are moved to another department usually for a few days before discharge. The hospitalization in total does not exceed 8-10 days.
Complete recovery takes 6 to 12 weeks. Everyone has their own times, which will from time to time agree with the treating physician.
The by-pass allows to relieve the pain in the chest of the patient, allowing him to gradually return to work that due to ischemic heart disease he could no longer perform. It, therefore, improves its quality of life and prolongs its survival. However, it does not replace the need for a healthy life or take scrupulously the medicines prescribed by the doctor.
Continue reading
Motherhood Hospital, one of the leading healthcare providers comprehensive women & child care located in Bangalore, offers international standard services at its modern facility. We pride ourselves as a leading incorporated brand providing comprehensive care to four children. Motherhood is a 400-bed super specialty hospital dedicated to excellence in medical services. We provide the highest quality patient-centric care. Motherhood hospital Bangalore is a Multi-Speciality Hospital Branches Hebbal, Indiranagar, Sarjapur Road, Banashankari , Hyderabad with State-of-the-art equipment & instruments and boasting impressive infrastructure comprising Emergency, ICU, Deluxe, Single AC, Non-AC, Double/Triple Sharing Rooms and General Wards with round-the-clock intensivist and specialist doctors, well-trained and experienced paramedical staff as well as 24hrs Ambulance, Pharmacy and Diagnostics Laboratory Services.
Best in Women and Maternity Care
Our complete range of women cares administrations are intended to provide care from puberty through womanhood and maturity. We focus on the treatment and diagnosis of whole gynecology and conceptive good conditions, all common and progressed gynecological medical procedures laparoscopic surgery four women of all ages, for example, fibroids, ectopic pregnancy, ovarian cysts, hysterectomy, etc.
Our trained and experienced gynecologists are adroit in handling any infirmity concerning the conceptive organs, for examples such as the uterus, fallopian tubes, cervix, ovaries, and vagina. They treat all related problems in the bowel, bladder, and urinary system since these are firmly identified to female conceptive organs.
Facilities and Services:
Book online appointment with our doctor and get advice for your health problems Motherhood Hospital chennai doctor list
Continue reading
For every type of health issue, you can find a doctor. There are health specialists who can give you a great treatment, proper assistance and cure your problem. But the first step you have to take. You have to ensure that you go to see the doctor. Have you ever heard of ENT doctor?
What does ENT stand for: Ear, Nose, and Throat? Thus, an ENT doctor specializes in ailments related to all these three organs of the body. But, why and when would you need an ENT specialist? Running or blocked nose, earaches, sinus headaches, tonsils – none of these seem to be such serious health issues that may require a specialist. While all of these can be resolved with home remedies or general medications, at times when they worsen, you may always visit a general practitioner or your family doctor, can’t you? So, the question is why you should see a specialist?
Ear, Nose, Throat is what ENT stands for. Thus, an ENT doctor has done specialisation in ailments linked to all these three organs of the body. But, the point is why and when would you require an ENT specialist? Of course, many of you might be thinking that running or blocked nose, sinus headaches, earaches, tonsils – none of these things seem to be a serious health issue that could require a specialist. Certainly maybe all of these issues can be resolved with home remedies or usual medications, at times when they get worsen, you might always visit a general practitioner or the family doctor.
Actually an ENT specialist is who you will wish to see once the above mentioned issues get serious, lengthy, or regular ones. To have a constantly running nose, experiencing earache every day, having issues with your throat on a daily basis is not all normal. Once in a while, all of these issues could seem alright, but otherwise, you surely require special consultation. Certainly, you can find the best ENT surgeons in India who can help you heal and get back on track.
ENT doctors are specialists who have successfully finished their medical school, but have stepped further into learning about ENT issues in detail for another five years. After getting certified, ENT doctors are in a position to treat diverse types of illnesses linked with the ears, nose, and throat; and sometimes they can even treat the head.
These issues range in everything from simple ear pain and ear infections to that of hearing impairments. ENT specialists can treat such disorders, while also treating balance disorders that are an outcome of the ears, and tinnitus.
Issues in the nose, nasal cavity, and sinuses could cause serious issues with breathing. People may even lose their capability to smell. Nasal polyps, Nasal allergies, and chronic sinusitis could make a person miserable. Furthermore, obstacles in the airways can trigger sleep pane and that would again need consultation of an ENT specialist.
Once you have throat infection, tonsils, or challenges in swallowing, it could be a situation that demands treatment. Further, laryngitis and chronic hoarseness also demand treatment by ENT doctors. ENT specialists can diagnose and even do treatment of problems related to the throat like conditions that affect swallowing, eating, digestion, speech problems and so on.
Since the neck and head are also linked with the ears, nose, and throat, ENT doctors can even treat certain conditions linked with these body areas. These might include any type of deformities, trauma, and even tumours. Issues in the salivary glands can even be treated by ENT specialists. Special ENT surgeon can perform corrective and reconstructive surgeries too that too in an effective manner.
The point is that if you are suffering from any type of these conditions like that of a throat or ear infection, no matter how simple or mild it is, you should visit an ENT specialist. If necessary you must undergo procedures as even mild infections can underline or trigger serious issues that can influence your health later on in life. What is the point if you think that you have a general issue with your health but it turns out to be a big problem?
Thus it is time that you talk to the best ENT surgeons in India and find out what you can do with your current ear, nose and throat problem. They can help you heal.
Continue reading
There are many people who with age or due to specific work activities are likely to experience severe pain in their back. In such a case, you do require instant help from the best orthopedic doctor in india. You should not neglect it for a long time, since the issue will only become chronic and more painful. The doctor should be specialized in this field and offer you with customized treatment to suit your specific health requirements\ and to alleviate your pain. In short, the physician should be well trained and knowledgeable enough to manage all types of concerns very quickly and exclusively. These physicians are termed to be the experts who can manage different types of emergency cases arising from orthopedic area.
Orthopedics is considered to be a medicinal field which revolves around treatment offered and includes study of musculoskeletal system. It is more to do with the spine, joints and the muscles and an area which is known to deal with disorder rectifications and deformity correction associated with the patients’ musculoskeletal system. This signifies that orthopedics is the best available remedy to treat and manage back pain, be it starting or chronic in nature. Usually, orthopedic care is said to employ various types of management techniques. It includes manual treatment, bracing and physical therapy. Bracing is performed to manage various issues that emerge from spinal dysfunctions such as chronic back pain, scoliosis and sacroiliac joint.
Often, this syndrome is termed as CTS and leads to various types of health ailments like pain, tingling, weakness and numbness in the patient. It also causes other kinds of problems associated with the hand, due to pressure placed on median nerve in the wrist. Different tends run through into the hand through the carpal nerve in this type of nerve. Sensations and movement control of the three fingers and the thumb excluding the small one is controlled by this nerve. CTS takes place as the nerve is placed under extreme pressure.
Pressure may be exerted due to several factors, thus causing the tunnel to appear much smaller. some diabetes may also be the cause of narrowing down of the tunnel space which includes hypothyroidism, rheumatoid arthritis and diabetes. The other causes are postpartum recovery due to pregnancy, fluid being in extremities, hormonal differences and postural considerations.
There is potential scope to treat this syndrome and it includes commonly used non-surgical options like exercising the fingers, wrist and hand and performing physical therapy. Even braces are suggested to be worn, so as to immobilize the joint region. It is considered to be a common region, where orthopedists are found to focus more upon. The experts also regarded this region as crucial, since it is the only one which gets affected.
Surgery might be required in few cases, especially if pain experienced is extreme. The different types of surgical remedies that are offered to the patients are joint replacement, shoulder reconstruction, rotator cuff reconstructions and ACL constructions.
Few other areas are present where the specialized and quailed doctors may recommend the patients to seek advanced surgical remedies. It includes foot and ankle surgeries along with repairing of tendons within the biceps and triceps area. Even can be dealt congenital abnormalities effectively and efficiently!
Some people unfortunately are noticed to experience abnormalities in their hand right from their birth. It is likely to cause them with different types of restrictions when performing some kind of work. As they grow in age and eager to interact with their surroundings, this issue will only handicap them and leave them out of the crowd for themselves. This will not only cause them issues with performing normal tasks carried out easily by the others, but also alienate them towards them, thus causing mental stress and tension. The reputed and the best orthopedic doctor in india are likely to have years of experience in treating such patients and can offer top quality remedies that is appropriate for the person. they also boast of having the training and know-how of using the latest technology and medical devices to manage and take care of various types of abnormalities and treat them efficiently.
Continue reading
Medanta Hospital One of the most widely acclaimed hospitals in the country is Medanta-The Medicity, which was established in 2009 in Gurgaon. This multi-specialty hospital is known for providing world-class facilities through its 20 specialty divisions and departments.
Artemis Hospital is multi-speciality hospital located in Gurgaon, India. its a first JCI and NABH accredited hospital which is established in 2007. Artemis Hospital has using advanced technology in the hands of renowned from across the country to set new standards for health care. In a potent, warm, open-centric environment, top-notch services have made, one of the most prestigious hospitals in the country. It is provides a depth of expertise in the spectrum of advanced medical & surgical interventions, comprehensive mix of inpatient and outpatient services. Artemis offers a depth of expertise in the spectrum of advanced medicine and surgical interventions, comprehensive mix of infant and outpatient services.

Fortis Memorial Research Institute (FMRI), Gurgaon, is a multi-super speciality, quaternary care hospital with an enviable advantageous faculty, reputed clinicians, including super-sub-specialists and speciality medical caretakers, supported by cutting-edge innovation. Fortis hospital is at present operating 56 hohpsital across india. A premium, referral hospital, it endeavours to be the ‘famous hub of Healthcare’ for Asia Pacific and beyond. Set on a spacious 11-acre campus with 1000 beds, this ‘Next Generation Hospital’ is built on the foundation of ‘Trust’ and lays on the four strong pillars Talent, Technology, Infrastructure and Service.
Prominent Features :

Paras Hospitals, Gurgaon is the 250 bedded flag ship hospital of Paras Healthcare. It is a cutting-edge multi super specialty hospital providing a complete spectrum of advanced therapeutic and careful interventions with a comprehensive mix of inpatient and outpatient services. Since its commencement in 2006, Paras group has been moving forward with the vision to provide competitive, imaginative and accessible medical consideration to its patients. The hospital offers around 55 specialities under one roof and is bolstered by a team of doctors of specialities and national notoriety.
The Paras medical has a magnificent infrastructure with the use latest technology, for example, 3D Digital Mammography with Breast Tomosynthesis, Cyberknife VSI, CT filters, and so forth. The hospital has begun a versatile van services with the mean to contact people in the provincial territories. The van is fitted with Ultrasound, CR System, X-Ray, ECG, Mammography and Pap smear to screen patients and help identify malignancy at a beginning time.
Continue reading
Depression is one of the most common mental disorders. According to WHO around 350 million people suffer from depression worldwide. This number continues to grow. It is estimated that by 2020, depression will be the second cause of disability. It is believed that depression is simply a change in mood. Also, it is a pessimistic outlook on life. However, this is just a common misconception – if left untreated, depression can turn into a severe form, and in the worst case, lead to suicide. Many tend to depreciate the suffering of people in depression, but it is worth remembering that depression is a disease that needs to be treated. Many treatment methods exist to treat depression. These treatment methods are quite effective, but only about 10% of patients who need it receive the necessary therapy. Let’s discuss common depression symptoms and possible treatment.
Let us begin by knowing Some Important facts about Depression
People expect depression to manifest in something obvious. For example, if a loved one starts crying regularly or is angry without reason, then this may be a depression symptom. Here is the list of Depression symptoms, which are easily go unnoticed.
Depressed people tend to look for loneliness because they want to understand themselves and their feelings. “If your friend has always been sociable, but suddenly became withdrawn and indecisive, this may well be a sign of depression”. Other signs: the constant desire to sleep and watch TV instead of outdoor activities, which has always been a good tradition.
Depression is a rather debilitating thing. That is why people who constantly analyze themselves and their actions, trying to understand what is happening with their lives, always feel tired. “Depression takes a huge amount of energy, so it does not remain to solve important everyday tasks”.
Fatigue can also cause sleep disturbances (or changes in its structure and depth). Studies show that people suffering from insomnia are 10 times more likely to develop deep depression.
Always a punctual colleague suddenly became late for meetings and do it with enviable regularity? Perhaps this is not just a change of habits. Many depressed people lose motivation. This concerns not only work but the desire to put up in the morning and generally do something.
When an always calm and the positive-minded person suddenly begins to behave in the opposite way (nervous, angry and arguing with everyone who does not agree with his point of view), this can also be a sign of depression. Why it happens? Depression is stress, which overloads the emotional background so that it can shift, effort, or, rarely, weaken the expression of emotions. In the latter case, depression obviously takes too much energy, as a result of which the person stops responding to any events, taking them for granted.
If your loved one suddenly loses or gains weight without rational reasons, you should think about it. In both cases, we can talk about eating disorders, but anorexia, bulimia and orthorexia are invariably accompanied by depressive moods. Weight fluctuations are a surprisingly common symptom of people who are depressed. This should also include inattention to appearance: especially, in cases where usually a person always watched himself and tried to make a pleasant impression.
“Lack of interest in sex can be a sign of depression”. This symptom is difficult to identify, as the partner may refuse your sexual intercourse for other reasons. However, in the case of sexual dysfunction, it is quite obvious that the problem should be sought in the mood.
The fact is that the brain is directly connected with our reproductive system. Thus, attraction to a partner originates in the brain, and only then this signal is transmitted through the neurotransmitters to the genitals by stimulating the flow of blood to them. When a person is depressed, neurotransmitters lose the ability to effectively transmit “information.” In addition, depression can cause partners to distance themselves from each other, which will make intimacy even more difficult
Many people think that depression is not curable, but the very important thing you need to know is depression is curable. Even the most severe forms of depression are successfully cured if the patient uses an effective treatment that is offered by psychiatry, psychotherapy.
Also, Talk to your doctor for possible treatment. For this, you can combine Conventional and Lifestyle change therapies. Some of the Depression (Depression Meaning in Hindi) Treatment is as follows: